Kapalı Yöntemle Beyindeki Tümör Alındı
Diyarbakır Gazi Yaşargil Eğitim ve Araştırma Hastanesi, Beyin Cerrahi Bölümü'nde büyük bir başarıya imza atarak, ilk kez kapalı yöntemle beyindeki bir tümörü aldı. Bu yöntemle, 56 yaşındaki bir erkek hastanın beynindeki hipofiz tümörü başarılı bir şekilde çıkarıldı. Ameliyat, yaklaşık 2,5 saat sürdü ve komplikasyon yaşanmadan tamamlandı. Bu gelişme, bölge hastanesi olarak Gazi Yaşargil Eğitim ve Araştırma Hastanesi için bir ilki oluşturuyor.
Hastanın Durumu ve Ameliyat Süreci
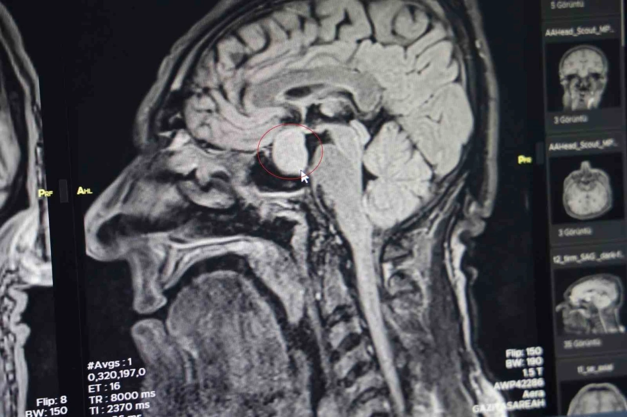
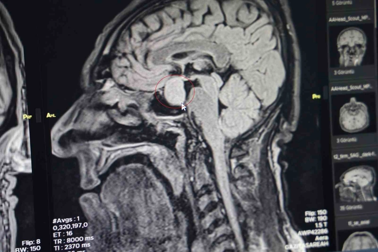
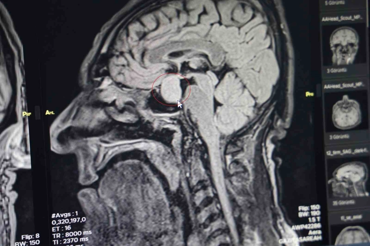
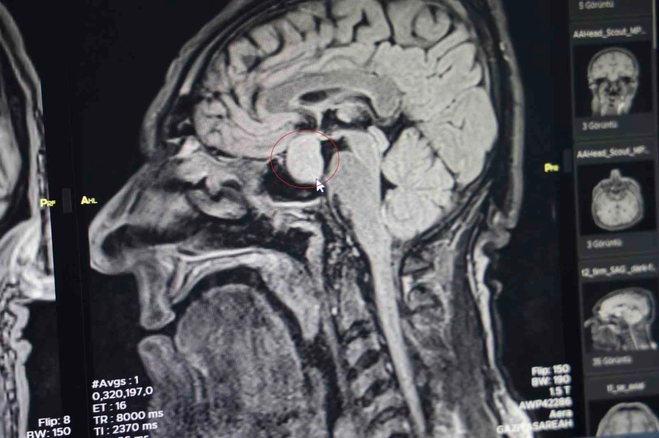
Hastanın başvurusu, burun kökü ve dilinde kabalaşma, ses kalınlığı gibi şikayetlerle oldu. Yapılan tetkikler sonucunda, dış merkezlerde çekilen MR’larda hipofiz bölgesinde bir iyi huylu tümör tespit edildi. Bu nedenle hasta, hastaneye başvurdu. Beyin Cerrahi Bölümü’nde yapılan tetkiklerin ardından, hastanın büyüme hormonlarının yüksek olduğu belirlendi ve kapalı yöntemle hipofiz tümörü başarıyla alındı.
İlk Kez Uygulanan Kapalı Yöntem
Doç. Dr. Abdurrahman Çetin, hastayı ameliyat öncesinde bilgilendirdiklerini ve operasyonun çok başarılı geçtiğini belirtti. "Hastanemizde ilk defa burundan kapalı yöntemle girilerek hipofiz tümörüne müdahale ettik. Allah’a şükür, sağ salim bir şekilde tümörü aldık. Operasyonumuz 2-2,5 saat sürdü ve herhangi bir komplikasyon gelişmeden başarılı bir şekilde tamamladık" diyerek, hastanın hızlı bir şekilde iyileştiğini belirtti. İki gün sonra hastanın taburcu edilmesi sağlandı.
Hastanın İyileşme Süreci ve Gelecek Kontroller
Hastanın genel durumu şu an gayet iyi ve kan tetkiklerinde büyüme hormonunun düzeldiği gözlemlendi. Dr. Çetin, "Hormon düzeyinin düştüğünü büyük bir memnuniyetle gözlemledik" diyerek, hastanın kısa süre sonra yapılacak kontrol testlerinde durumunun netleşeceğini ifade etti. Hastanın görme kaybı ameliyat öncesi bir miktar vardı ancak hormon düzeyi yarıya düştü ve bu, hastanın iyileşme sürecinin iyi gittiğini gösteriyor.
Yeni Bir Dönem Başlıyor
Hastanenin bu başarılı operasyonu, Diyarbakır ve çevresindeki hastaların büyükşehirlerdeki merkezlere gitmeden bu tür tedavi ve ameliyatları alma imkânı sağlayacak. Dr. Çetin, "Bu hastalar genelde şimdiye kadar büyükşehirlere gitmekteydiler. Bundan sonra bu tür ameliyatları gerçekleştirme imkânımız olacak" diyerek, hastanede yapılan bu önemli gelişmenin bölge halkı için büyük bir kazanım olduğunu vurguladı.
“Hastanemizde ilk defa burundan kapalı yöntemle girilerek hipofiz tümörüne müdahale ettik. Allah’a şükür, sağ salim bir şekilde tümörü aldık.” - Doç. Dr. Abdurrahman Çetin İHA





